复大医院 > 医院动态
广州复大肿瘤医院好不好? 在2016国际(广州)癌症治疗论坛上,来自国内外200位肿瘤专家...
广州复大肿瘤医院好吗?2012年5月25日,美国的莫X和玛X两姐妹都患有严重的晚期乳腺癌,...
广州复大肿瘤医院怎么样?丹麦胰腺癌教师郭X在2014年5月27日中宣部所召开的“时代楷模...
暨南大学广州复大肿瘤医院总院长徐克成教授《与癌共存》新书发布会(广州站)将在广州购...
广州复大肿瘤医院一直重视对患者的人文关怀。徐克成总院长强调,医学人文精神是医学的...
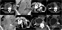
论文作者单位是中山大学一附院和暨南大学广州复大肿瘤医院。文章回顾分析两家医院72例...
专家介绍
擅长肿瘤外科手术及微创冷冻治疗,在胰腺癌、肝癌、肺癌、肾癌、甲状腺癌、腹腔肿瘤等>>查看专家详情
从事肿瘤研究40余年,在头颈肿瘤的诊断和治疗方面有较深的造诣,尤其是喉癌和口腔癌,迄今仍是广东喉癌单病种首席专家>>查看专家详情
康复案例
2014年6月5日,复大肿瘤医院又迎来了一位大肚子,然而这个大肚子却是位铁骨铮铮的汉子>>阅读原文
新年即将到来之际,来自泰国的华侨林伯看着眼前的亲人感慨地说>>阅读原文
温馨提示
400-668-0120
广州市天河区棠德西路·2号
(粤)互联网医疗审查证号:粤(A)广(2024)第995号 粤ICP备16087931号
复大肿瘤医院